Advertisement

How to Train Your Memory

How to Make Your Memory Suck Less
How to Make Your Memory Suck Less
<strong> ALEXANDRA NICOLE TRELLE Ph.D., </strong> a memory researcher at Stanford University, is in the middle of explaining why dozens of research centers around the country are feverishly trying to understand the most effective ways to prevent big memory problems. There are huge studies in parts of Europe as well, so the scope is really... she says, leaving dead air where more words should be.
Advertisement

International? I fill in.

Advertisement

Its an international effort, she says.

Its a minor lapse, Trelles inability to come up with the word internationalnothing like the time I blanked on my next-door neighbors name when I was introducing her to a friend. But the fallibility and fragility of memory are precisely why so many incredible minds are striving to find effective ways to protect and even augment one of the brains most vital functions.

Theres some seriously Black Mirror stuff in the works. Neuroscientists at Wake Forest Baptist Medical Center, for instance, recently completed the first--ever human trial of an implant that delivers electrical pulses to the brains memory centerit enhanced participants recall by 37 percent. A team at MIT improved memory in mice by exposing them to a combination of flashing strobe lights and a rapid clicking sound. Even more sci-fi, researchers at both MIT and the French National Centre for Scientific Research successfully inserted false memories into the brains of micea feat that proves the malleability of memory. And Facebook and Elon Musk are (separately) working on brain-computer interfaces that may allow our minds to one day merge with digital memory banks.

How to Make Your Memory Suck Less
How to Make Your Memory Suck Less
Advertisement

The scientific frenzy is driven in no small part by an everyday mystery that, odds are, worries you too: Why do so many of us who almost certainly dont have diagnosable memory problems forget the name of the movie we watched last week, or stride purposefully into the living room, then stand there, slack-jawed, unable to remember what we came for?

My search for answers led me to the Stanford Memory Lab, where Trelle, 29, who has been studying the inner workings of memory for the past eight years, agreed to show me around. I expected to find a sterile-looking facility with dozens of beeping machines, or at least a beaker or two of mysterious liquid. But the lab is a nondescript room with a couple of computers and a TVa blandness that belies the significance of the research taking place there. Over the past decade, hundreds of study subjects have submitted to hours of memory testing while lying inside the high-res MRI machine tucked away in an adjacent room, allowing scientists to peer into their brains and watch what happens as they form, and then try to retrieve, memories.

We set up the MRI to optimize our ability to measure whats happening in the hippocampus, an area of the brain thats critical for memory, says Trelle, the studys lead postdoc. We can actually see very distinct neural signatures when people successfully remember versus when they forget.

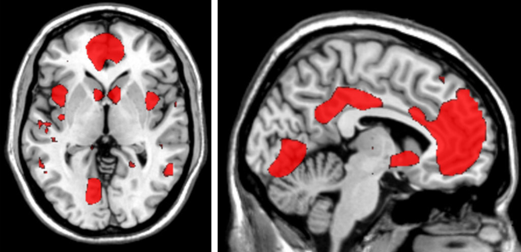
<strong>MEMORY IS REALLY</strong> complicated: This fMRI data from the Stanford Memory Lab shows the numerous areas of the brain (from two different angles!) that are recruited during successful memory retrieval.
<strong>MEMORY IS REALLY</strong> complicated: This fMRI data from the Stanford Memory Lab shows the numerous areas of the brain (from two different angles!) that are recruited during successful memory retrieval.

The memory tests are sensitive enough to pick up subtle changes in recallsome of which are due to the gradual dulling of memory with age. Others may indicate something more serious, like the protein--buildup calling cards of Alzheimers. By watching memory lapses in action and comparing peoples performance over time, Trelle and her colleagues hope they can identify the early signs of memory decline and uncover its causes, as well as clues about how to prevent it.

Advertisement

Its unsettling to imagine scientists peering at ones brain as it flounders. What causes those lapses? I ask Trelle. Why cant I remember the name of the restaurant I went to last week but can still recall the look on my friends face a decade ago when she told me she was getting divorced?

How to Make Your Memory Suck Less
How to Make Your Memory Suck Less

Its pretty simple, she says. When you dont remember, its because you werent paying attention. Memory and attention are inextricably linked. If youre only halfheartedly attending to new information, it doesnt get deeply encoded in your brain, so its more likely to blow away like loose topsoil on a windswept plain.

Thats normal, by the way. It happens to everyone, from execs who are killing it to Jeopardy! savant James Holzhauer. When it comes to memory, theres a vast range of normal, but wherever you are on the spectrum, you can make it better. Scientists like Trelle go as far as saying, maybe a little hyperbolically, that unless theres a real problem, theres no such thing as a bad memory; there are just trained and untrained ones.

The challenge: We live in a world with more distractions than ever, where pings and chirps vie relentlessly for our attention. (Really, when was the last time any of us fully paid attention to anything?) In fact, our cultural distractibility may be the main reason more and more of us have the disquieting sense that our memory is failing. Fortunately, researchers have begun exposing the cost of our inattentivenessand have some ideas for keeping our brains on track.

Advertisement
How to Make Your Memory Suck Less
How to Make Your Memory Suck Less

BEING "ON" MAY TURN MEMORY OFF

SOME OF THE best insight into what were up against these days is being revealed at the Stanford Memory Lab, where researchers have devoted considerable time to seeing if and how modern lifespecifically, media multitaskingis messing with our memory. The human brain, by design, can only focus on one thing at a time, says Anthony Wagner, Ph.D., the Memory Labs director.

Think youre a proficient multitasker? Thats like saying youre a good drunk driver. Sure, it feels like youre masterfully juggling two or more things at once. But your attention is actually flitting, like a hummingbird, from one thing to another, with predictable consequences. Wagner and his team at Stanford discovered that heavy media multitaskers score lower on tests of working memory, the brains temporary scratch pad, where we store information about what were doing in the moment. And that may have long-term effects. Multitasking may also interfere with the ability to encode and retrieve long-term memories.

How to Make Your Memory Suck Less
How to Make Your Memory Suck Less

Checking Instagram while binge-watching isnt the only tech-related reason your conversation is increasingly peppered with phrases like whats his name and that movie with Chris Hemsworth. Indeed, theres a growing list of potential ways our favorite digital tools may subtly chip away at our recall.

Simply knowing that you can check Google for information youve just learned, for instance, makes you less likely to remember it. Typing notes instead of writing them in longhand may reduce your ability to recall the material. And reading text solely on screens, which we tend to skim more than immerse ourselves in, may undermine your capacity to remember what you read. (Australian researchers may have a solution; theyve developed a difficult-to-decipher typeface that demands extra concentration. Called, memorably, Sans Forgetica, it significantly bolsters recall.)

Theres even some evidence that taking pictures of your experiences blurs your memory of them. Call it the Selfie Effect. Theres mounting evidence that when we engage with technology while were trying to experience something, it short-circuits the memory-encoding process and diminishes our ability to recall the experience later, says Jason Chein, Ph.D., director of Temple Universitys Brain Research & Imaging Center.

How to Make Your Memory Suck Less
How to Make Your Memory Suck Less

LOAD YOUR MEMORY RIGHT

Advertisement

EVEN IN OUR tech-tethered world, most of us have the potential to remember far more than we actually do. Ironically, this is where technology may help save us. For instance, Adam Gazzaley, M.D., Ph.D., a professor of neurology and psychiatry at the University of California, San Francisco, and his research partners have created and published research on MediTrain, an app-based meditation program designed to improve your ability to regulate your attention and tune out distractions, just as meditation has been doing for thousands of years. Until the program is available in another year or two, regular meditation and brain-training games may help, too.

<strong>RESEARCH BY</strong> P. Murali Doraiswamy, M.B.B.S., director of Duke Universitys Neurocognitive Disorders Program and MH advisor, shows that you can improve memory and attention at any age.
<strong>RESEARCH BY</strong> P. Murali Doraiswamy, M.B.B.S., director of Duke Universitys Neurocognitive Disorders Program and MH advisor, shows that you can improve memory and attention at any age.

Ultimately, we need to adapt our use of technology to our brain, rather than the other way around. That means not just using tech programs to enhance our focus but making room for nondigital methods that do so as well. You can dramatically improve your attention ten- to 15-fold, says Mens Health brain-health advisor P. Murali Doraiswamy, M.B.B.S., director of Duke Universitys Neurocognitive Disorders Program. His research shows that although memory and attention peak in our mid-to-late 20s, we can improve, regardless of age. After 25 sessions of cognitive training, 40-year-olds may outperform untrained 20-year-oldsbut it takes effort, he says. By effort, he means doing things like turning off your devices so you can actually listen, challenging your intellect, and spending hours immersed in a single task like reading an actual book. Yes, youve heard that before, but experts like Dr. Doraiswamy keep repeating it, because were not getting the message.

Training your attention is a big piece of the remember-more equation. If you sit in a meeting without making an effort to retain whats being said, roughly 50 percent of what you hear will disappear in a day or two and 90 percent will be gone within a month, warns Dr. Doraiswamy. The same goes for books, movies, conversations. Poof. To remember something, you need to remind your brain its important. Take notes after meetings or when you finish a book. Explain interesting things youve picked up during the day to others. At the very least, think through information after you hear it. By giving it as much richness and context as possible, the pieces of it are more likely to be distributed throughout your minds memory networkthe neural equivalent of hitting your brains save button.

Deep memory encodingcementing information into your mind so you can recall it months or years from nowworks best when you relate the information to existing memories or knowledge in a meaningful way, says Trelle. Which explains why my friends divorce details are still so vivid and why nearly everyone remembers what they were doing on 9/11.

Advertisement

So next time you meet someone you want to remember, dont just repeat their name. Try to find a shared interest. Make a connection. By doing so, youll encode the name more deeply into your brains existing web of memories, and it will become part of your personal lexicon. In the memory world, we call this depth of processing, but its really just being curious and interested about new people or places or ideas or information, says Trelle.

And being curious and interested does more than bolster your memory. It makes you better at life.

Advertisement