Advertisement

Natural ways to remove tartar from your teeth

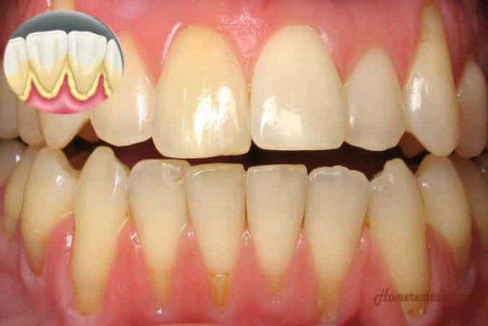
Tartar buildup (homeremediescare)
Tartar buildup (homeremediescare)
Try theses at home.
Advertisement

Tartar is bacteria filled plaque that forms around your teeth and when not removed, it can lead to gum disease, and also those yellow stains can also make you feel quite self-conscious, not to mention, they could bring about bad breath. Lucky for you, if you have this, there are natural remedies to remove the tartar. Here’s how:

Advertisement

1. Baking soda and salt.

Mix one tablespoon of baking soda with a pinch of salt plus your toothpaste and use this mixture to brush your teeth. Do this once a week because the abrasiveness of baking soda can destroy your teeth enamel. Baking soda has some other oral benefits besides helping clear out the tartar such as, supporting healthy oral PH level, also, its healthy microbial properties reduce the number of harmful bacteria in your mouth and it helps reduce stains from your teeth, giving you a great smile.

2. Orange peel.

Instead of throwing away those orange peels, rub the white part of the orange peel on your teeth for 2-3 minutes, 3-4 times a week and remember to rinse your mouth with luke warm water afterwards. Citrus fruits are good at removing plaque stains because they contain acids. The orange peel in particular contains soluble fiber, vitamin C, pectin and limonene – elements that fight food debris that form on your teeth.

Advertisement

3. Lemon juice.

Dip your toothbrush in lemon juice and use it to gently brush your teeth. Leave it on for a few minutes, before rinsing. Since it’s also abrasive, use this method only once every two weeks. If you have teeth sensitivity, do not use this method as it can cause your teeth to be overly sensitive.

Lemon juice is loaded with Vit c that helps keep the skin bright and youthful
Lemon juice (Courtesy)

4. Coconut oil.

There’s a popular method called oil pulling whereby the coconut oil absorbs dirt in the mouth, reduces tartar and plaque and helps you get rid of bad breath. Swish one or two tablespoons of coconut oil in your mouth for about ten minutes then spit it out and rinse your mouth with luke warm water.

Advertisement
Coconut oil
Coconut oil

5. Strawberries and tomatoes.

Both of these ingredients are rich in vitamin C. Blend the two and put the paste on your teeth. Leave it on for 5 minutes before rinsing your mouth with warm water.

Advertisement
Latest Videos
Advertisement